Usluge

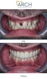
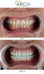
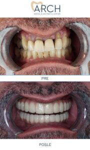
Kompletna stomatološka rešenja

U ARCH Dental & Aesthetic Centru pružamo sveobuhvatne stomatološke usluge koje zadovoljavaju najviše standarde moderne dentalne medicine. Bez obzira na to da li su vam potrebni protetika, implantologija, ortodoncija ili estetski zahvati, naš stručni tim koristi najsavremenije tehnologije i metode kako bi osigurao savršen osmeh i zdravlje vaših zuba. Verujemo u individualni pristup svakom pacijentu, pružajući pažnju, posvećenost i vrhunski kvalitet usluga – sve na jednom mestu. Uz nas, vaš osmeh dobija novu dimenziju!

Stomatološka protetika

Implantologija i oralna hirurgija

Konzervativno i endodontsko lečenje

Konyervativno i endodontsko lecenje

Parodontologija

Dečija i preventivna stomatologija

Ortodoncija

Anti-Aging medicina